クリックする拡大します

マップ

診察日 月・火・水・金・土

休診日 日・木・祝祭日

平日 9:3〜12:30/14:30〜19:30

土曜日 9:30〜12:30/14:00〜17:00

TEL 027-256-7277

FAX 027-280-6331

お問い合わせはコチラ

斉藤先生

ホワイトニングとは

歯の着色や黄ばみを、歯を削らずに歯の専用のホワイトニング剤を用いて、歯を白くしていくことを歯のホワイトニングといいます。
ホワイトニングには、医院で行うオフィスホワイトニングと自宅で行うホームホワイトニングの二つの方法があります。ホームホワイトニングは、オフィスホワイトニングに比較して、歯に対するダメージが少なく、費用が安く、通院の回数が少なく、色の戻りが遅いなどのメリットがあります。
ホームホワイトニングは患者様の歯型を取り、歯型を元に専用のトレーを作製し、トレーの中にホワイトニング剤を入れ、それを歯にはめていただき歯を白くする方法です。
ホワイトニングにかかる期間は上下で2〜3週間程です。ホワイトニング剤によって一時的に歯の知覚過敏症が出現することがありますが、一旦ホワイトニングを中断して頂ければ、症状は改善されますのでご安心ください。
ホワイトニングの診療料金を見る>>

オフィスホワイトニングについて

当院にてホワイトニングを行うものがオフィスホワイトニングです。
ホームホワイトニングのように一ヶ月かけて徐々に白くしていくのでなく、その場で1日で終えることができ、時間に余裕のない方にお勧めです。
しかし 、その分使用するホワイトニング剤が強いため歯への負担も大きくなり、当院で全ての治療を行うので費用も ホームホワイトニングに比べてお高くなっております。

ホームホワイトニングについて

患者様のご自宅で行ってもらうホワイトニングです。
まずは当院で、診査、診断、カウンセリングを受けて頂き、1日30分〜2時間ほど、歯にホワイトニング剤をつけて頂くだけです。
この作業をご自宅で一ヶ月ほどかけて行いますので、オフィスホワイトニングに比べて歯への負担は少なく、歯も白くなります。

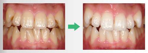
ホワイトニング症例

症例
1.希望された理由はなんですか?
歯の黄バミが強く、ずっと気になっていました。白くする方法があることは知っていましたが、具体的には知識がありませんでした。機会があればできればやってみたいと思っていました。
2.治療の際、不安だったことはありませんか? また、それは改善されましたか?
特にありません。
3.治療終了後の感想を聞かせてください。
皆さんのように真っ白というわけではありませんが、随分改善されたと思います。
ありがとうございました。
症例
1.希望された理由はなんですか?
歯の色が気になっていたからです。
2.治療の際、不安だったことはありませんか? また、それは改善されましたか?
手間がかかって大変かと思いましたが、とても簡単で寝ている時にできるので、ラクにできました。
3.治療終了後の感想を聞かせてください。
毎日鏡で歯を見るようになりました。自分でも歯が白くなっていくのがわかったので、とてもやりがいがありました。
友人に歯が白くなったと気付いてもらえた時の嬉しさは格別で、ホワイトニングをやってよかったと思いました。今まで以上に、歯を見せて笑えるようになりました。
症例
1.希望された理由はなんですか?
担当の歯科衛生士の方のように白い歯になりたいと思っ て希望しました。
2.治療の際、不安だったことはありませんか? また、それは改善されましたか?
事前にきちんと説明して頂いたので不安はありませんでした。
3.治療終了後の感想を聞かせてください。
周りの人から「歯、白いね」と言われるようになり、笑顔が多くなった気がします。
ホワイトニングをやって本当に良かったです。
症例
1.希望された理由はなんですか?
歯の変色(黄色っぽくなってきた)が気になったから。
2.治療の際、不安だったことはありませんか? また、それは改善されましたか?
事前に医院のホームページを見たので、特に不安はなし。ホワイトニング開始前にもよく説明を受けたので大丈夫でした。
3.治療終了後の感想を聞かせてください。
歯がしみることも少なく、無事終了。おかげ様で、白い歯になりました。ありがとうございました。

ホワイトニング Q&A

Q.そもそもホワイトニングって何ですか?

きれいにならない歯の中の着色または変色している部分を、歯の表面にホワイトニング剤をおくことで歯の色を白くしていく歯の漂白方法です。

Q.ホームホワイトニングとオフィスホワイトニングって何が違うんですか?

ホームホワイトニングは患者様のご自宅で、2週間ほどの長いスパンでホワイトニングに取り組んで頂きます。そのため費用はオフィスホワイトニングに比べて安いです。使用するホワイトニング剤もオフィスホワイトニングに比べ弱く、歯へのダメージは少ないです。
ただ自宅でプライベートな時間を使い患者様にホワイトニングを行ってもらうことと、オフィスホワイトニングに比べ結果が出るのが遅いです。
オフィスホワイトニングは医院でホワイトニングを行いますので、結果が出るのが早いですが、その分費用は高いです。

Q.ホワイトニングは一度白くしてもまた元に戻ってしまうって本当ですか?

ホワイトニングはホワイトニング剤を使って歯を一時的に白くしているものなので、基本的には元に戻ってしまいます。

Q.ホワイトニングのできない歯ってありますか?

ホワイトニングは基本的にどんな歯でも可能ですが、詰め物、差し歯、などの色は変わりません。